The Five Ways To Treat Sesamoiditis
The five ways to treat sesamoiditis.
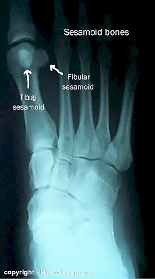
What is sesamoiditis and how is it treated?
Sesamoditis is the term used to describe inflammation of a small bone in the foot known as the sesamoid bone. Each foot has a pair of sesamoid bones called the tibial (medial) or fibular sesamoid (lateral). The sesamoid bones act to facilitate the transfer of force around the bottom or plantar surface of the great toe joint. The sesamoid bones are incorporated within the tendon of the flexor hallucis brevis muscle. Sesamoid bones function much like the knee cap (patella), gliding over the surface of the joint, transferring mechanical load generated by a muscle.
Sesamoiditis is an inflammatory condition of the sesamoid bone. The inflammation of the sesamoid can be between the articulation of the sesamoid and the first metatarsal. Sesamoiditis can also be caused by thinning (atrophy) of the fat pad beneath the sesamoid bone.
Treatment of sesamoiditis consists of the following 5 basic categories of care:
- Padding or off-loading with temporary pads such as dancer's pads.
- Prescription orthotics used to off-load the sesamoids.
- Anti-inflammatory medication including cortisone.
- Partial resection of the sesamoid.
- Complete excision of the sesamoid.
Be sure to check our foot and ankle knowledge base article on sesamoiditis for more information on the pros and cons of each of these methods of treatment.
Our most popular product used to treat sesamoiditis is our Reusable Dancer's Pad. The Reusable Dancer's Pad is used to off-load weight bearing on the sesamoid bone. As the name describes, the pad is reusable, refreshed simply by washing in soap and water.
Jeff
Medical Advisor
Myfootshop.com
Updated 3/23/2021
