Metatarsal Transfer Lesions
What is a metatarsal transfer lesion?
Why are metatarsal transfer lesions common after bunion surgery?
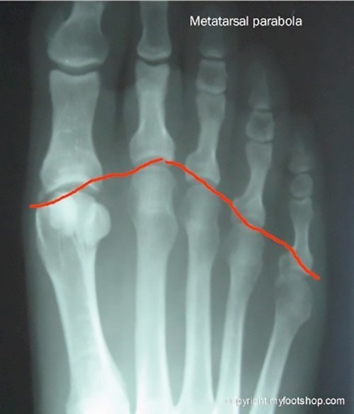
There are five metatarsal bones in each foot. The metatarsal bones descend from the midfoot to the ball-of-the-foot. The relative length of each metatarsal is important in creating the weight-bearing surface of the ball-of-the-foot. The image to the right shows the relative length of the metatarsals, often referred to as the metatarsal parabola. The importance of the metatarsal parabola is that it enables the foot to work as a unit, with no one metatarsal bearing more weight than any of the other metatarsals. When one metatarsal functions outside of the unit (outside of the function of the metatarsal parabola), that's when metatarsal transfer lesions may occur.
Eccentric load of the metatarsal heads contributes to:
When the weight-bearing pattern of the metatarsal parabola is altered by surgery or trauma, the area where load b
ecomes focused is called a transfer lesion. Transfer lesions may occur following bunion surgery. In this case, the transfer lesion is found beneath the second metatarsal head. The cause of the transfer lesion is due to a decrease in the load-bearing capacity of the first metatarsal. Bunion surgery often requires a metatarsal osteotomy, or break in the metatarsal. If the first metatarsal heals in an elevated position, that elevated position will alter the load-bearing of the metatarsal parabola and cause a transfer lesion beneath the second metatarsal head.
Metatarsal transfer lesions may also occur beneath the lesser metatarsal heads following metatarsal surgery or fractures. Although the correction of the metatarsal looks perfect while on the surgery table, the 6 weeks that it takes for healing may contribute to elevation of the correction. Fixation with pins, plates, and screws is often used to try to prevent elevation of the metatarsal head. (1)
Herzog J, Goforth WD, Stone P, Paden M. A modified fixation technique for a decompressional shortening osteotomy: a retrospective analysis. J Foot and Ankle Surg 53:131-136, 2014.
Jeff
Medical Advisor
Myfootshop.com
Updated 4/15/2021
