Chronic Achilles Tendon Pain | What is the role of MRI and ultrasound?
What is the role of MRI in chronic Achilles tendinitis and partial tears of the Achilles tendon?
When is MRI or ultrasound indicated for chronic Achilles pain?
The causes of chronic Achilles tendon pain can vary from simple inflammation of the tendon to partial rupture. Prior to the advent of soft tissue scanning techniques, including magnetic resonance imaging (MRI) and ultrasound (US), the classification of injury to the Achilles tendon was poorly defined in the literature. With these new scanning techniques, new classifications for Achilles tendon injuries are being proposed, but these classifications are yet to be accepted by practicing clinicians. Without accepted classification for Achilles injuries, is there value in these imaging techniques? Does the cost of these tests justify their use? And do these tests actually improve patient outcomes?
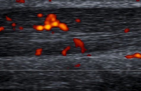
Buono et al in a 2013 paper entitled Achilles tendon function: functional anatomy and novel emerging models of imaging classification, were among the first to propose an image-based classification of Achilles tendon injuries. (1) The goal of their paper was to create a degree of prognostic value with a classification based on US and MRI. Their paper proposes a classification of Achilles tendon injuries based on anatomy of the tendon, symptoms, clinical findings and histopathology. The authors used MRI to define structural changes in the tendon with 96% sensitivity and color Doppler with reported 86% sensitivity. (2) Their classification was twofold. First, they used MRI to define structural alterations of the tendon. Secondly, they used color Doppler to define the degree of reactive revascularization surrounding the tendon. Increased revascularization suggested not only a response to injury but also provided an opportunity to prognosticate regarding the success of the response to injury - increase vascularization suggested a potentially successful outcome, whereas lack of revascularization suggested a poor outcome.
Imaging studies are always correlated with clinical findings. But what determinative value do these imaging studies add to the course of treatment of chronic Achilles tendinitis or partial tears of the Achilles tendon? Clinical findings appear to still be the primary determinant of outcome. Pain, swelling, and fusiform swelling of the tendon all suggest different stages of injury. It does not appear to date that a classification based on imaging techniques, whether MRI or US, has been clearly defined or may provide prognostic value to the clinician.
- Buono A, Chan O, Maffulli N, Achilles tendon: functional anatomy and novel emerging models of imaging classification. Int Orthop 2013 Apr;37(4) 715-721.
- Khan KM, Forster BB, Robinson J et al (2003) Are ultrasound and magnetic resonance imaging of value in assessment of Achilles tendon disorders? A two years prospective study. Br J Sports Med 37:149-153.
Jeff
Medical Advisor
Myfootshop.com
Updated 3/18/2021
