5th Metatarsal Fractures – Conservative vs. Surgical Care
When is surgery indicated in 5th metatarsal fractures?
It's been a busy week for metatarsal fractures. I’ve seen three 5th metatarsal fractures this week. One was a fracture that required open reduction with internal fixation (surgery). One was treated with conservative care. The third case was referred to me as a fracture for treatment - but is it really a fracture? What determines how to treat a metatarsal fracture? To understand how 5th metatarsal fractures heal, it’s important to understand a bit of bone anatomy.
Metatarsal bone anatomy
Metatarsal bones are a subset of bones classically called long bones. Long bones, like metatarsal bones, consist of three types of bone. These types of bone include epiphyseal bone, metaphyseal bone and diaphyseal bone.
- Epiphysis – the end of the bone.
If the epiphysis articulates with another bone forming a joint, this is known as a pressure epiphysis.
If the epiphysis is the site of a tendon attachment, this is known as a traction epiphysis
- Metaphysis – the primary region of bone growth located adjacent to the epiphysis.
- Diaphysis-- - The long, hard central portion of the bone.
To better explain long bone anatomy, let’s use a real-life example. Think of a chicken drumstick. The bone inside the drumstick is a long bone. The drumstick has an epiphysis, metaphysis, and a diaphysis. The epiphysis is the soft bone at either end, just under the cartilage. The metaphysis is also the soft bone that transitions into the harder, central bone called the diaphysis. Think of the diaphysis as a structural support, holding up the chicken and the epiphyseal and metaphyseal bone as a shock absorber that functions when the chicken jumps down of the roost in the morning.
Treatment options for 5th metatarsal fractures
So what does this silly example of long bone anatomy have to do with 5th metatarsal fractures? The location of the 5th metatarsal fracture, in the epiphysis, metaphysis or diaphysis, helps us understand the potential for the fracture to heal. Epiphyseal and metaphyseal fractures have a good chance of healing with conservative care, while diaphyseal fractures have a more difficult time healing and often require internal fixation. We also need to consider the physical make-up of the patient. Are they sedentary or active? Smoker or non-smoker? Normal BMI or obese? The more active the patient, particularly in athletes, we’ll be erring to the side of internal fixation.
Let’s take a closer look at the three cases I treated this week.
Case #1 is a 6’ 7” police officer. At 42 years old, he’s active, non-smoker and fit. The location of the fracture (as seen in image 1) is at the demarcation of the metaphyseal bone and diaphyseal bone. As you can see in the image, I took him to surgery for a percutaneous closed reduction using a 6.5 mm cannulated bone screw. Even with internal fixation, the patient will be 8 weeks non-weight bearing and follow with 4 weeks in a walking cast.

In case #2, the patient is a 64 y/o female who sustained an inversion sprain 8 months ago while at work. The patient is sedentary, a non-smoker and overweight. The initial plain films showed what appeared to be an avulsion fracture at the base of the 5th metatarsal. An avulsion fracture is where a small chip of bone is pulled from the epiphysis (hence the name traction epiphysis). Interestingly though, as time passed, a true dancer’s fracture of the metaphyseal-diaphyseal junction appeared. At 8 months out with continued pain, an MRI was obtained that showed no inflammatory reaction at the site of the dancer’s fracture. The MRI was primarily ordered to rule out tendon pathology to include peroneal tendon tear or tendinitis. The differential diagnosis includes non-union of the 5th metatarsal dancer’s fracture. This patient will likely go on to have internal fixation.

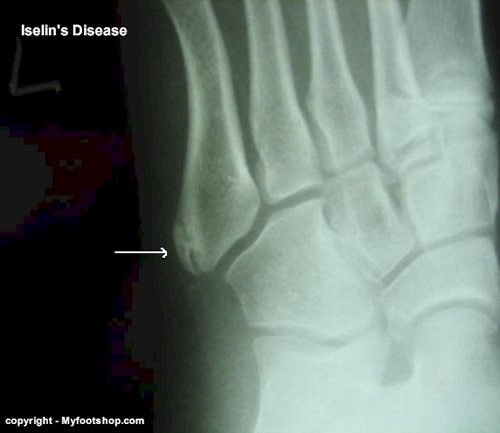
The third case was a 12 y/o male with no history of injury. He was referred to me for evaluation and treatment of a 5th metatarsal fracture. Symptoms included +1 swelling that was site-specific and pain with initial onset of activities along with pain with increased duration of activities. In this case, the primary problem was not actually a fracture but a growth plate issue called apophysitis. More specifically, apophysitis of the 5th metatarsal base is known as Iselin’s disease. Iselin’s disease is self-limiting in that the symptoms will resolve at boney maturity. Short term treatment includes limitation of activity and use of a lateral sole wedge to limit supination of the foot. Iselin’s disease is a good example of 5th metatarsal pathology specific to the epiphysis.

As you can see from these case examples, much of the treatment decisions in 5th metatarsal fractures depends upon the location of the fracture. Epiphyseal and metaphyseal bone – good to heal with conservative care. Diaphyseal – hard to heal and likely requires internal fixation.
Jeff
Medical Advisor
Myfootshop.com
Updated 12/24/2019
